(1)むし歯予防
ホームジェルやチェックアップやConCoolなどのフッ化物配合の歯磨剤を毎日使うことで、むし歯の原因菌の発育を抑えることができます。同時に、むし歯になりにくい強い歯をつくることで、新しいむし歯の発生も防ぎます。
|
 |
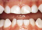
乳歯にも…
(4才6ヵ月)
朝と夜で1日2回使用。
詰め物がなく、むし歯もない。
〔ホームジェル使用歴 3年〕 |
 |
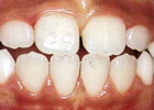
永久歯にも…
(6才8ヵ月)
夜1回の使用。
使い始めてからは新しいむし歯がない。
〔ホームジェル使用歴 2.5年〕 |
|
(2)歯肉炎・歯周病の予防
フッ素化合物が歯周病の原因菌の増加を抑え、初期症状である歯肉の腫れや出血を防ぎます。 |
|
(3)知覚過敏の軽減
毎日使い続けることによって、2〜3週間で冷たいもの、熱いものの刺激が歯にしみにくくなります。 |
|
(4)口臭防止
口臭は、食べかすや細菌のかたまりである歯垢によってひき起こされます。 フッ素化合物の抗菌効果で虫歯や歯周病の原因菌を取り除くことにより、効果的な口臭予防が期待できます。 |
|
フッ化物配合の歯磨剤を毎日使い続けることによって、
虫歯の発生および進行が98%抑えられる事が世界的に認められています |